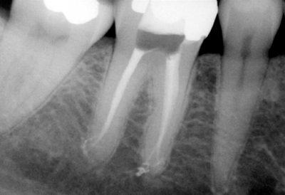
Un traitement de racine ou traitement endodontique consiste à traiter l’intérieur d’une racine
(par élimination du paquet vasculaire et nerveux appelé “pulpe”).
Il s’agit généralement d’une dévitalisation ou d’une désinfection (dent malade par abcès).
LE TRAITEMENT CONSISTE À :
- Faire un diagnostic précis faisant appel aux techniques radiologiques en 3D
- Poser un champ opératoire appelé la digue
- Réaliser un accès au canaux
- Repérer tout les canaux, il peut y avoir des canaux sur numéraires
- Perméabiliser tout les canaux
- Les mettre en forme en les élargissant
- Les désinfecter a l’ hypochlorite de sodium (eau de javel)
- Les obturer en compactant une gutta percha à chaud (caoutchouc étanche)
- En cas d’abcès, un suivi de la guérison et de la réparation osseuse se fera sur une année voir deux.
 
                                                            