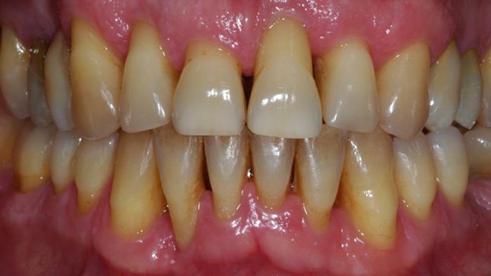
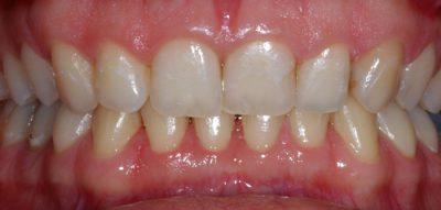
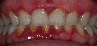
La maladie parodontale, autrefois appelée « déchaussement » et qui a pour point de départ la gingivite, a longtemps été à tort considérée comme un phénomène inévitable lié à l’âge, entraînant la perte des dents.

Aujourd’hui, cette maladie ou plutôt ces maladies d’origine bactérienne, car elle peut revêtir différentes formes, sont beaucoup mieux connues. Les patients ont ainsi plus de chance de conserver leur sourire !