// // //
Dr Thierry Roos Dr Léo Roos 03 88 36 00 10
Dr Romain Demangeat Dr Quentin Amesland 03 88 24 04 00

L’utilisation du composite

sur vos dents abîmées

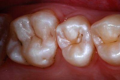
COMPOSITE SUR DENTS POSTÉRIEURES

Le cahier des charges d’un simple soin de carie n’a cessé d’évoluer ces dernières années :
nouvelles techniques, nouveaux matériaux mais surtout la notion d’intervention à minima grâce notamment à une instrumentation adaptée et des produits de collage. Même si les amalgames (dits “plombages”, gris), par ailleurs excellent matériau, ont su être un matériau de choix, l’heure est à présent aux résines composite qui outre leur qualité esthétique ont le pouvoir de renforcer la dent abimée ou cariée…
Les composites sont employés dans des cavités de faible à moyenne étendue.


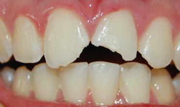
COMPOSITE SUR DENTS ANTÉRIEURES