// // //
Dr Thierry Roos Dr Léo Roos 03 88 36 00 10
Dr Romain Demangeat Dr Quentin Amesland 03 88 24 04 00

Esthétique dentaire à Strasbourg

pour un sourire redéfini

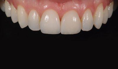
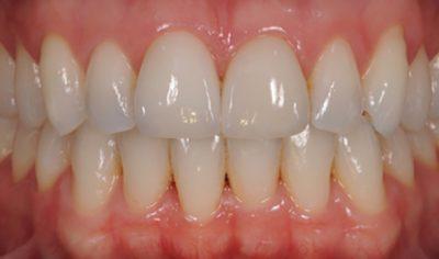
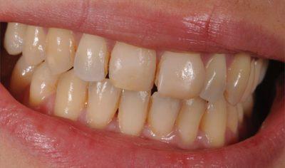
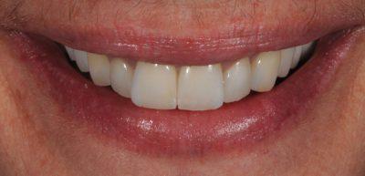
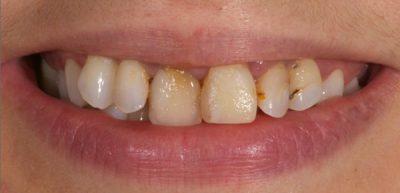
Il est des situations d’amélioration du sourire qui passent par une étude approfondie, un projet esthétique permettant au patient d’évaluer son futur sourire avant même de préparer les dents, puis l’emploi de toutes les techniques combinées pour parvenir au résultat souhaité. La réussite étant une reconstruction qui ne se remarque pas, une apparence naturelle et pleinement intégrée.

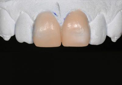
BIOMIMÉTIQUE

La restauration d’une ou plusieurs dents repose sur quatre principes indissociables : biologique, mécanique, fonctionnel et esthétique.
Cette imitation du naturel est aussi appelée biomimétique. Toute approche du sourire passe par une évaluation
(souhaits du patient, empreintes, photos, projet esthétique) basée sur des critères tant objectifs que subjectifs.


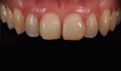
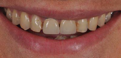
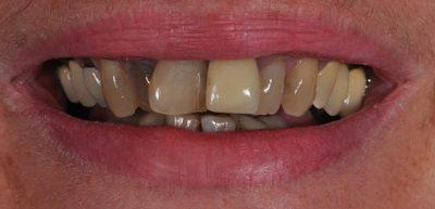
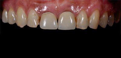
LE PROJET ESTHÉTIQUE

Évaluation du futur sourire par une simple apposition de résine sur les dents, sans aucune préparation dentaire ni engagement.
Le patient peut ainsi mieux se projeter avant de démarrer un traitement à visée esthétique.




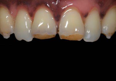
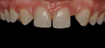
MODIFICATION TOTALE DU SOURIRE