
Votre spécialiste en inlays onlays
d’inlay et d’onlay à Strasbourg
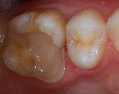
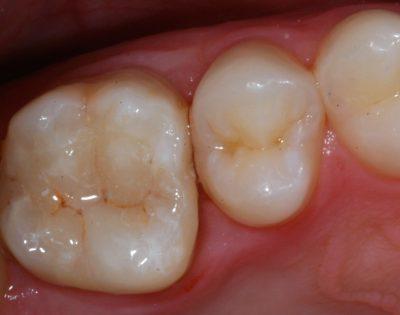
Dès lors que le volume d’une dent abimée est jugé moyen ou important, il est nécessaire de réaliser un inlay ou onlay, pièce en résine composite ou en céramique (anciennement en or) confectionnée par le laboratoire.