L’édentation est un phénomène commun à toutes les populations du monde. Il peut résulter d’une mauvaise hygiène dentaire, d’une dent non sauvable, ou simplement d’usure ou de vieillesse. L’intervention de choix en cas de perte d’une ou plusieurs dents est la pose d’un ou plusieurs implants dentaires, jusqu’au remplacement d’une arcade complète.
Votre spécialiste de l’implant
dentaire à Strasbourg
C’est quoi un implant dentaire ?
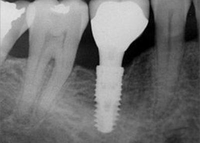
Comparable à une racine artificielle, l’implant dentaire est un petit objet cylindrique de la forme d’une vis qu’un chirurgien-dentiste fixe dans l’os maxillaire du patient. Deux a trois mois sont nécessaires à son intégration osseuse. Il remplace la racine de la dent perdue qui offre ainsi une base robuste pour accueillir une couronne, un bridge ou une prothèse dentaire amovible, et permettre au patient de mastiquer normalement et sans encombres.
Cabinet Roos et Démangeat spécialiste en implant dentaire à Strasbourg
Le recours aux implants permet de restituer mastication, équilibre, parole et sourire. Un implant posé dans de bonnes conditions et entretenu peut fonctionner toute une vie, avec la nécessité de renouveler uniquement la prothèse adaptée.
Vous souhaitez recourir à la pose d’un implant ?
Le cabinet des Docteurs Roos et Démangeat, spécialiste en implant dentaire à Strasbourg est à votre disposition pour vous renseigner et vous conseiller.
 
                                                             
                                                             
                                                             
                                                             
                                                             
                                                             
                                                             
                                                            