// // //
Dr Thierry Roos Dr Léo Roos 03 88 36 00 10
Dr Romain Demangeat Dr Quentin Amesland 03 88 24 04 00

Pose de facette dentaire

à Strasbourg par un expert

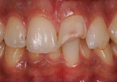
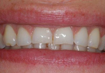
Dent endommagée, jaunie, tâchée ou déformée ? Vous avez peut-être besoin d’une pose de facette dentaire. Moins invasive qu’une couronne, et parfois plus efficace qu’un blanchissement, la pose de facette dentaire est un traitement léger qui s’adresse aux modifications de forme, de teinte ou de volume des dents.


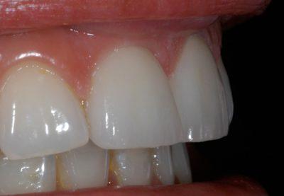
Qu’est ce qu’une facette dentaire ?

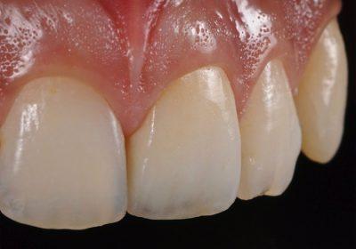
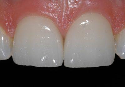
La facette dentaire est une fine plaquette généralement en porcelaine, qu’un chirurgien-dentiste pose sur une dent grâce à un puissant collage. Elle permet de corriger la teinte d’une dent, sa forme, voire tout un sourire. La préparation à effectuer sur la dent naturelle est bien plus conservatrice que pour une couronne. Il arrive dans certaines situations de pouvoir s’affranchir d’une préparation de la dent.

UN SPÉCIALISTE FACETTE DENTAIRE À STRASBOURG POUR REDORER VOTRE SOURIRE

Le propre d’une facette dentaire est d’embellir l’aspect d’une dent. Plusieurs cas de dents endommagées ou jaunies peuvent requérir une pose de facette dentaire. Celle-ci est, en l’occurrence, préconisée pour réparer des dents partiellement usées, ou fracturées. Elle peut aussi être utilisée pour améliorer l’apparence de dents déformées ou mal alignées, mais également pour réduire ou fermer des espaces entre les dents lorsque celles-ci sont trop écartées. La facette peut également être proposée lorsqu’un blanchiment dentaire s’avère inefficace.
Pour une pose de facette dentaire et retrouver un sourire éclatant sur Strasbourg, confiez-vous aux Docteurs Roos et Demangeat.