// // //
Dr Thierry Roos Dr Léo Roos 03 88 36 00 10
Dr Romain Demangeat Dr Quentin Amesland 03 88 24 04 00

Pose de couronnes

dentaires à Strasbourg

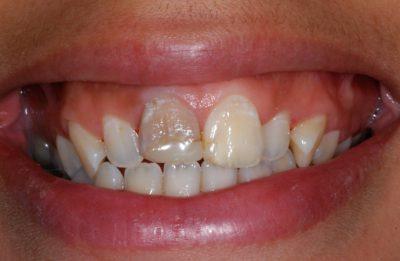
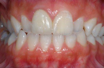
Lorsqu’il ne reste plus suffisamment de structure dentaire et que la dent est fragile ou que la dent est fracturée, les restaurations vues précédemment (soins composite ou inlay/onlay) ne sont pas envisageables : la restauration de la dent nécessite la pose d’une couronne. Des résultats esthétiques sont encore mieux atteints depuis l’avènement des couronnes tout céramique.
Lors des étapes intermédiaires de traitement, une couronne provisoire assurant santé, fonction et esthétique est systématiquement mise en place.
Enfin, plusieurs couronnes solidarisées constituent un bridge offrant ainsi la possibilité de remplacer une ou plusieurs dents manquantes.


COURONNE POSTÉRIEURE

Ainsi, notre cabinet vous accueille au quotidien pour la pose de vos couronnes dentaires à Strasbourg afin de vous rendre un sourire radieux !