// // //
Dr Thierry Roos Dr Léo Roos 03 88 36 00 10
Dr Romain Demangeat Dr Quentin Amesland 03 88 24 04 00

Le collage dentaire

ASSEMBLAGE

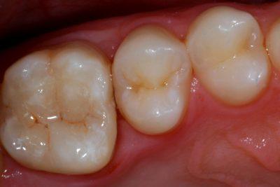
L’une des révolutions modernes de la dentisterie réside dans la capacité de coller.
En conséquence, la plupart des reconstructions actuelles font appel au collage, assurant ainsi étanchéité, efficacité de tenue dans le temps
et surtout un abord plus conservateur de la dent, la nécessité de préparation étant moindre (dentisterie moins invasive).
Le collage demeure cependant une technique très sensible, notamment à l’humidité, d’où le recours à un mini-champ de protection appelé “digue”.


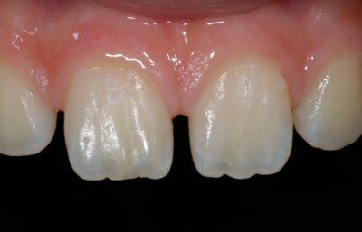
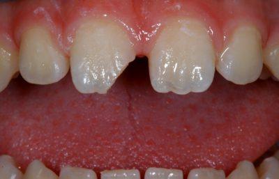
COLLAGE D’UN FRAGMENT DENTAIRE