// // //
Dr Thierry Roos Dr Léo Roos 03 88 36 00 10
Dr Romain Demangeat Dr Quentin Amesland 03 88 24 04 00

Blanchiment dentaire

Donnez plus d’éclat à votre sourire

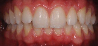
De nos jours, des dents éclatantes de blancheur sont signe de jeunesse et de bonne santé.

Mais afficher un sourire lumineux n’est pas seulement une question d’humeur : avec le temps, les dents peuvent perdre de leur éclat. Toutefois, il existe une solution : le blanchiment des dents. Egalement appelé éclaircissement dentaire, il s’agit d’une technique simple, efficace, et qui sous contrôle médical est sans risque. Découverte en 1989 par Haywood, des millions de patients au travers le monde ont déjà franchi le pas.


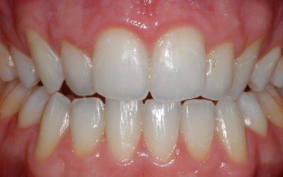
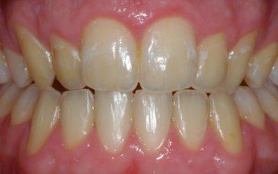
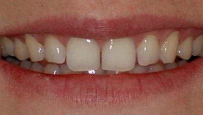
L’objectif du blanchiment dentaire est bien évidemment de redonner de la blancheur et de l’éclat a? votre sourire.

En effet, au quotidien, les dents sont imprégnées par divers colorants (tabac, caféine, nourriture, etc…) et malgré un brossage attentif, il est difficile de préserver leur blancheur. Un résultat qui est aujourd’hui facilement atteignable lors d’une session de blanchiment des dents dans notre cabinet spécialisé.
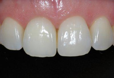
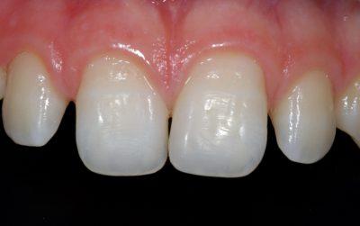
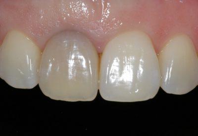
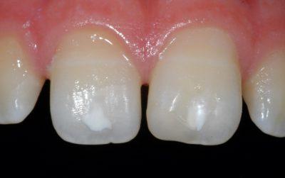
Ce processus est réalisé a? l’aide d’un agent éclaircissant (souvent du peroxyde de carbamide) qui, une fois applique? sur les dents, va pénétrer cette dernière pour agir sous l’émail, sur la couche dentinaire. Il va alors décolorer cette dernière (qui est alors d’un jaune ou brun plus ou moins fonce?), donnant aux dents un aspect plus blanc. Selon l’intensité de la coloration a? corriger, l’évolution de votre blanchiment dentaire sera contrôlée et réévaluée après 15 jours.


Nos solutions d’éclaircissement dentaire a? Strasbourg s’adaptent a? vos attentes.

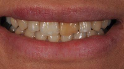
Que vous souhaitiez blanchir vos dents jaunies par le temps, masquer des tâches ou une dent dévitalisée (a? la teinte grisâtre), nous pourrons redonner de l’éclat a? votre dentition en toute simplicité grâce a? un accompagnement expert et des techniques maitrisées.


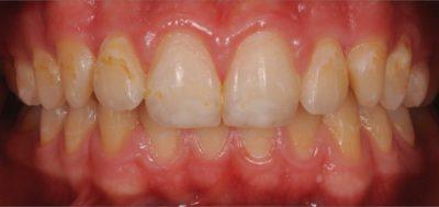
Une dent dévitalisée peut parfois s’exprimer par une teinte à effet grisâtre.

Un procédé consistant à placer un produit d’éclaircissement au sein de la dent permet bien souvent de récupérer la teinte initiale
sans avoir recours à un quelconque artifice prothétique.